Nuovo passo verso un contraccettivo maschile non ormonale e reversibile

E' possibile bloccare la produzione di spermatozoi nei testicoli senza usare ormoni e senza compromettere la fertilità: lo dimostra uno studio preliminare sui topi, frutto di sei anni di lavoro, che apre la strada a una nuova generazione di contraccettivi maschili non ormonali, reversibili e a lunga durata d'azione . Il risultato è pubblicato dalla Cornell University sulla rivista dell'Accademia americana delle scienze, Pnas.

"Siamo praticamente l'unico gruppo a sostenere l'idea che l'azione contraccettiva sui testicoli sia un metodo praticabile per bloccare la produzione di spermatozoi", afferma la genetista Paula Cohen, direttrice del Cornell Reproductive Sciences Center.

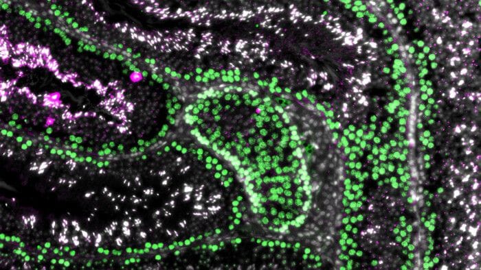
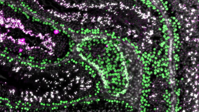
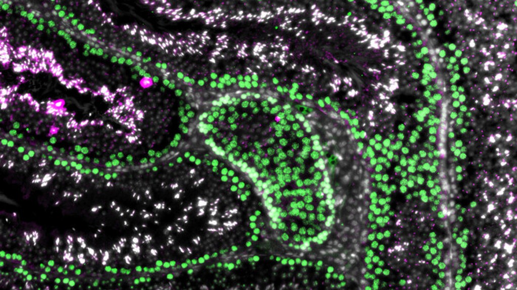
Il suo team ha provato questa nuova strategia non ormonale utilizzando una piccola molecola sperimentale , chiamata JQ1 , che era stata in precedenza usata come strumento di ricerca negli studi sul cancro e le malattie infiammatorie . Pur non potendo essere usata direttamente come contraccettivo, a causa dei suoi effetti collaterali , la molecola ha dimostrato che è possibile bloccare in modo reversibile la produzione di spermatozoi agendo su un processo cruciale, chiamato meiosi , che avviene nei testicoli dei mammiferi.

La meiosi è un particolare tipo di divisione a cui vanno incontro le cellule progenitrici degli spermatozoi dopo che hanno raddoppiato il loro set di cromosomi: la divisione porta alla formazione di quattro cellule figlie che presentano metà dei cromosomi necessari per la formazione della vita. Ciascuna di queste cellule poi matura e diventa spermatozoo. JQ1 interrompe la meiosi durante la cosiddetta profase 1 e impedisce l'accensione dei geni necessari per la produzione degli spermatozoi.

Nello studio, i ricercatori hanno somministrato JQ1 a topi maschi per tre settimane, ottenendo il blocco della spermatogenesi. Successivamente, hanno interrotto la somministrazione di JQ1 e, nel giro di sei settimane la produzione di spermatozoi è ripresa normalmente. I topi trattati sono risultati ancora tutti fertili e hanno generato una prole sana e a sua volta fertile.

© RIPRODUZIONE RISERVATA