Una proteina multitasking guida lo sviluppo dei neuroni

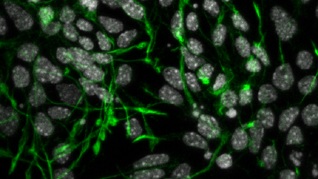
A dirigere la trasformazione delle cellule immature in neuroni durante lo sviluppo embrionale è una proteina multitasking nota con la sigla Mettl9 , che con la sua sola presenza svolge questo ruolo fondamentale, oltre al suo compito normale che consiste nel modificare le proteine necessarie ai neuroni. A identificare il secondo lavoro di questa molecola chiave è lo studio internazionale guidato dall'Italia, con l'Istituto Italiano di Tecnologia di Genova, e pubblicato sulla rivista Nature Communications. La ricerca, che vede il contributo anche di Scuola Normale Superiore e Università di Pisa, Istituto Europeo di Oncologia di Milano, Istituto di Nanotecnologia del Consiglio Nazionale delle Ricerche di Lecce e Università di Torino, promette di fare luce sulle basi di malattie come Alzheimer e Parkinson , così come di alcune patologie dovute a difetti dello sviluppo neurologico .

La formazione del cervello nell' embrione è un processo estremamente delicato, regolato da una complessa rete di proteine . Tra queste, i ricercatori coordinati da Luca Pandolfini hanno dimostrato che Mettl9 svolge più di un ruolo fondamentale : quando viene rimossa dalle cellule, infatti, queste non riescono a trasformarsi in neuroni. Oltre alla sua funzione chimica, cioè la sua capacità di modificare altre proteine, è dunque la presenza stessa di Mettl9 a risultare cruciale. Un comportamento che viene detto ' moonlighting ', un termine usato per indicare il secondo lavoro che una proteina può svolgere oltre alla sua attività principale.

"In questo studio - afferma Pandolfini - non solo abbiamo identificato una proteina cruciale per lo sviluppo del cervello, ma abbiamo anche dimostrato che il fenomeno del moonlighting potrebbe essere molto più diffuso di quanto si credesse finora. Infatti, il nostro lavoro apre alla possibilità che molti enzimi possano svolgere nuove funzioni ancora inesplorate - sottolinea il ricercatore - indipendenti da quelle già note".

© RIPRODUZIONE RISERVATA