Rigenerato il fegato direttamente nel corpo, il test nei topi

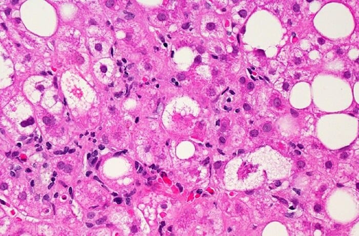
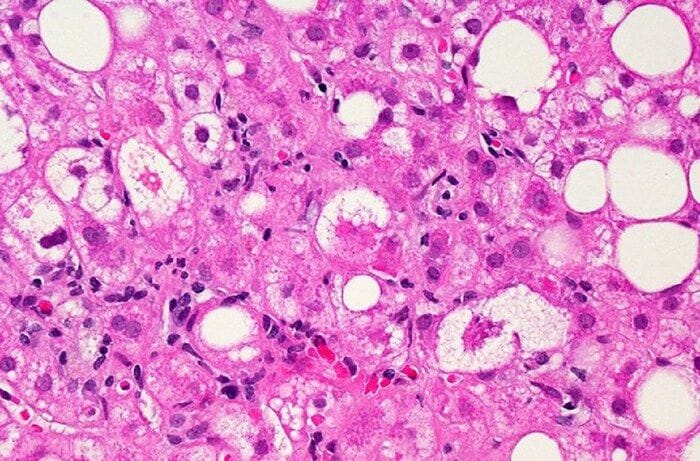
Mini-isole di fegato sono state fatte crescere direttamente nell'organismo di un topo e questo primo risultato potrebbe essere un apripista per la rigenerazione di altri organi che sono stati danneggiati, a partire dal cuore o dal pancreas . A rendere possibile questo intervento senza precedenti è stata la combinazione delle tecniche di ingegneria dei tessuti con quelle della biologia sintetica , descritte sulla rivista Science Advances dal gruppo dell'Università di Harvard guidato da Christopher Chen e da Sangeeta Bhatia.

Da tempo è possibile realizzare mini-strutture , una sorta di isole sulle quali coltivare tessuti di singoli organi, e il cui sviluppo viene guidata da quattro fattori di crescita . Sono state ottenute in questo modo porzioni del fegato e, nonostante le incredibili capacità di autorigenerazione di quest'organo, finora non si è riusciti a fare in modo che si impiantasse in un organismo vivente. Accade infatti che al di fuori del laboratorio la crescita delle cellule del tessuto epatico, le cosiddette cellule epatocitarie primarie umane o Hep , si blocchi.

Per indurre e controllare in modo sicuro la proliferazione delle cellule Hep in un organismo vivente , e in futuro nei pazienti umani, i ricercatori hanno utilizzato la biologia sintetica per realizzare quattro linee di cellule del tessuto connettivo (fibroblasti) , ognuna delle quali produce uno dei quattro fattori di crescita , a condizione che sia presente un antibiotico molto comune, la doxiciclina . Per fermare la crescita , basta eliminare l'antibiotico . La tecnica, chiamata Boost (acronimo dall'inglese ''bioengineered on-demand outgrowth via synthetic biology triggering') dovrà ancora essere perfezionata ma di sicuro, per i ricercatori, i risultati ottenuti sui topi possono essere considerati una prova di principio della sua validità .

I topi nei quali è stato fatto sviluppare il fegato, è stato osservato un " aumento del 500% nella proliferazione " e il nuovo tessuto è stato ben tollerato , senza "alcun segno di fibrosi dovuto all'invasione di cellule immunitarie e all'infiammazione dei fibroblasti, né crescita tumorale. "Questi risultati sono stati particolarmente entusiasmanti per noi", ha affermato un'altra autrice della ricerca, Amy Stoddar.

"La nostra strategia Boost getta le basi per un futuro in cui le terapie cellulari per organi solidi potranno essere controllate in modo non chirurgico in base alle esigenze dei pazienti e dei loro medici", ha detto Bhatia . Una tecnica che, sottolineano gli autori, potrebbe in futuro essere usata anche per guidare la crescita di altri tessuti , ad esempio quello cardiaco o quello del pancreas .

© RIPRODUZIONE RISERVATA